Reverse Shoulder Replacement Surgery
Reverse Shoulder Replacement Surgery is an advanced orthopedic procedure designed for patients suffering from severe shoulder damage, arthritis, or complex fractures where conventional treatments may not be effective. This surgery is especially beneficial for individuals with rotator cuff tear arthropathy, where the shoulder muscles are no longer functioning properly.
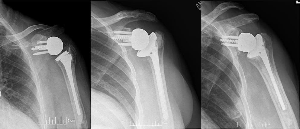
In this procedure, the normal structure of the shoulder joint is reversed. The ball and socket positions are switched, allowing the deltoid muscle to take over the function of the damaged rotator cuff. This helps restore shoulder movement, improve strength, and significantly reduce pain.
This surgery is commonly recommended for:
- Severe shoulder arthritis
- Irreparable rotator cuff tears
- Complex shoulder fractures
- Failed previous shoulder surgeries
Reverse shoulder replacement provides excellent outcomes when performed by an experienced shoulder specialist. Patients often experience improved range of motion and the ability to perform daily activities with ease.
Post-Surgery Recovery & Rehabilitation
After surgery, proper physiotherapy and rehabilitation play a crucial role in recovery. A guided exercise program helps restore mobility, strengthen muscles, and ensure long-term success of the procedure.
Successful long-term outcomes with proper care and follow-up
- Fracture Around The Shoulder
- Shoulder Arthroscopy
- Shoulder Impingement
- frozen Shoulder
- Shoulder dislocation
- Shoulder Joint Replacement
- Rotator Cuff Tear
- Biceps Tendinitis
- Calcific Tendinitis
- Carpal Injuries
- Reverse Shoulder Replacement Surgery
- Precover Redant Shoulder Location
- Elbow Replacement
- Elbow Arthroscopy
- Elbow Fracture
- Elbow dislocation
- Tennis Elbow
- Radial Head Replacement
- Wrist Scaphoid Nonunion
- Wrist Fractures
- Wrist Scaphoid Fractures
- Wrist Arthroscopy
- Rheumatoid Wrist
- Thumb Pain – 1st CMC Arthritis